External Source

Hydrocephalus Shunt Video By Dr. Cal Shipley, M.d.

2012 3:25
Synopsis
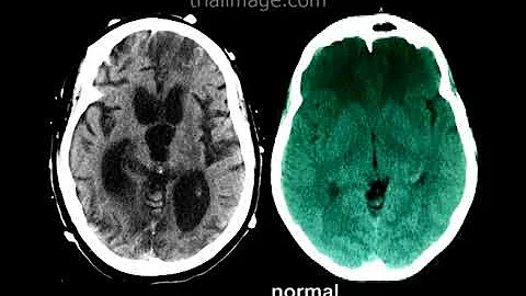
Treatment of Hydrocephalus by placement of a shunt into the ventricles of the brain (ventricular peritoneal shunt). Possible ...
Download Options
Choose a download method below. All links open in new tabs.
Service Features Action
SaveFrom
MP4 & MP3 • HD Quality • Browser Extension Available
Download
Security Notice: These are third-party services. We recommend using antivirus software and being cautious of pop-up ads.