External Source

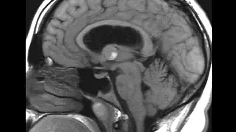
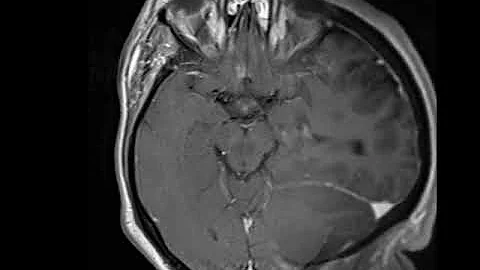
Hydrocephalus Due To Colloid Cyst Animation By Cal Shipley, M.d.

2020 6:46
Synopsis
Hydrocephalus, Brainstem Herniation and Stroke due to obstruction of the Foramen of Monro by a Colloid Cyst NEU083 Related ...
Download Options
Choose a download method below. All links open in new tabs.
Service Features Action
SaveFrom
MP4 & MP3 • HD Quality • Browser Extension Available
Download
Security Notice: These are third-party services. We recommend using antivirus software and being cautious of pop-up ads.