External Source

4-d Mri Of Bicuspid Aortic Valve Disease

2017 0:25
Synopsis
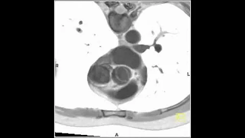
Michael Markl, PhD, director of Cardiovascular Magnetic Resonance Imaging (MRI) Research Operations, is using 4D flow ...
Download Options
Choose a download method below. All links open in new tabs.
Service Features Action
SaveFrom
MP4 & MP3 • HD Quality • Browser Extension Available
Download
Security Notice: These are third-party services. We recommend using antivirus software and being cautious of pop-up ads.