External Source

Pilocytic Astrocytoma - Andrew Mork's Mayo Clinic Story - Part 1

2010 1:24
Synopsis
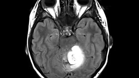
Andrew Mork had just joined the Air Force in August 2008 when he began to experience symptoms from a rare tumor of the brain ...
Download Options
Choose a download method below. All links open in new tabs.
Service Features Action
SaveFrom
MP4 & MP3 • HD Quality • Browser Extension Available
Download
Security Notice: These are third-party services. We recommend using antivirus software and being cautious of pop-up ads.