External Source

Hollywood Smile Porcelain Veneer Transformation Before/after

2024 0:16
Synopsis
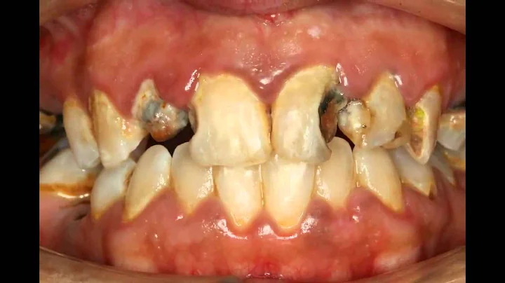
Here we placed 10 minimal prep porcelain veneers to repair the chipped teeth, close the gaps and whiten his smile. The entire ...
Download Options
Choose a download method below. All links open in new tabs.
Service Features Action
SaveFrom
MP4 & MP3 • HD Quality • Browser Extension Available
Download
Security Notice: These are third-party services. We recommend using antivirus software and being cautious of pop-up ads.