External Source

Largest U.s. Tuberculosis Outbreak In Kansas Since 1950 Reported - Dr. Vin Gupta

2025 3:17
Synopsis
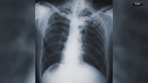
Health officials report the largest U.S. tuberculosis outbreak in Kansas since 1950, with 67 symptomatic and 79 latent cases; ...
Download Options
Choose a download method below. All links open in new tabs.
Service Features Action
SaveFrom
MP4 & MP3 • HD Quality • Browser Extension Available
Download
Security Notice: These are third-party services. We recommend using antivirus software and being cautious of pop-up ads.