External Source

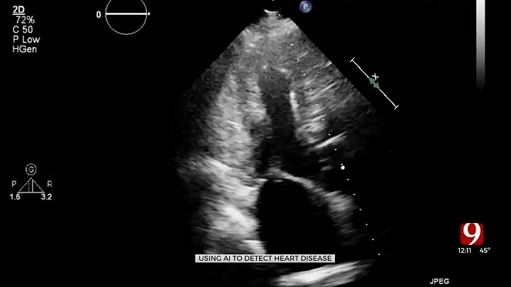
Ai At The Heart

2023 0:53
Synopsis
Ever wondered how the world of digital pathology evolves to meet specific needs? I had an insightful chat with @‌Kate ...
Download Options
Choose a download method below. All links open in new tabs.
Service Features Action
SaveFrom
MP4 & MP3 • HD Quality • Browser Extension Available
Download
Security Notice: These are third-party services. We recommend using antivirus software and being cautious of pop-up ads.