External Source

Chest X-ray Lines And Tubes In 5 Minutes

2020 4:56
Synopsis
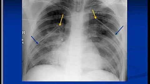
Introduction to several lines, tubes, and devices on chest radiographs.
Download Options
Choose a download method below. All links open in new tabs.
Service Features Action
SaveFrom
MP4 & MP3 • HD Quality • Browser Extension Available
Download
Security Notice: These are third-party services. We recommend using antivirus software and being cautious of pop-up ads.