External Source

Ct Coronary Angiogram | Canon Aquilion One | 640 Slice Ct

2022 9:02
Synopsis
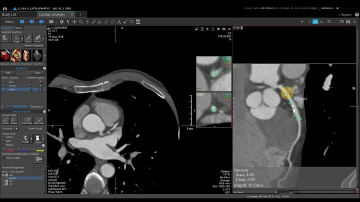
In this video im going to share with how to scan a CTA CARDIAC or
Download Options
Choose a download method below. All links open in new tabs.
Service Features Action
SaveFrom
MP4 & MP3 • HD Quality • Browser Extension Available
Download
Security Notice: These are third-party services. We recommend using antivirus software and being cautious of pop-up ads.