External Source

The Tech Tackling Dementia - Bbc Click

2019 6:02
Synopsis
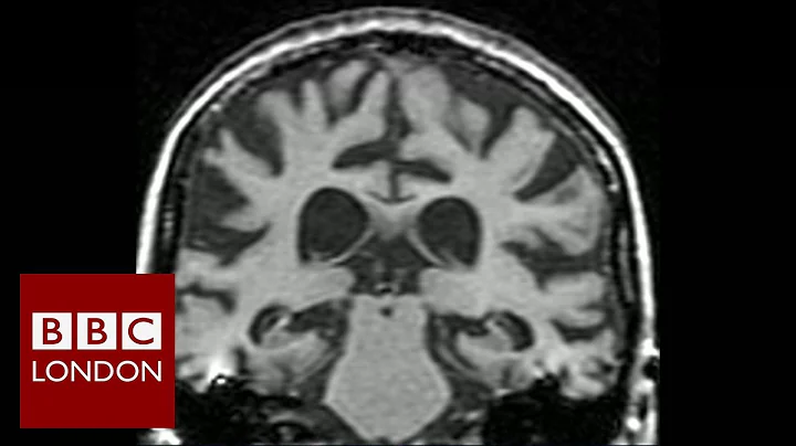
We've been looking at some technological approaches to better understand and help tackle dementia. Subscribe HERE ...
Download Options
Choose a download method below. All links open in new tabs.
Service Features Action
SaveFrom
MP4 & MP3 • HD Quality • Browser Extension Available
Download
Security Notice: These are third-party services. We recommend using antivirus software and being cautious of pop-up ads.