External Source

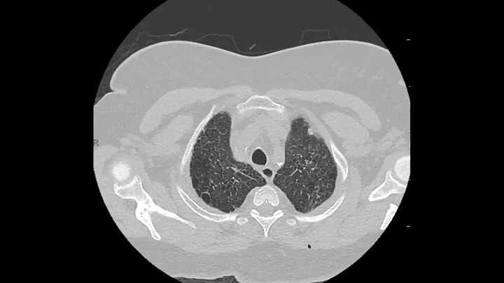
Pulmonary Langerhans Cell Histiocytosis (plch) On Ct

2021 3:37
Synopsis
Nice example of how earlier on in disease, it is easier to make a confident diagnosis in ILD cases. Also, classic appearnce of ...
Download Options
Choose a download method below. All links open in new tabs.
Service Features Action
SaveFrom
MP4 & MP3 • HD Quality • Browser Extension Available
Download
Security Notice: These are third-party services. We recommend using antivirus software and being cautious of pop-up ads.