External Source

Analyze 14.0 - Segment: Auto Trace

2020 2:10
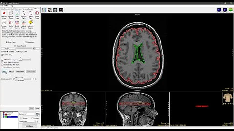
Synopsis
How to use Auto Trace to segment using 2D seeded region growing in Analyze 14.0. This video uses the MRI_3D_Head dataset, ...
Download Options
Choose a download method below. All links open in new tabs.
Service Features Action
SaveFrom
MP4 & MP3 • HD Quality • Browser Extension Available
Download
Security Notice: These are third-party services. We recommend using antivirus software and being cautious of pop-up ads.