External Source

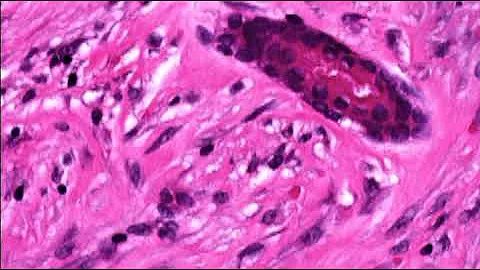
Infantile Digital Fibroma (inclusion Body Fibromatosis) Pathology Dermatology Dermpath

2023 3:55
Synopsis
This is an excerpt from my fibrohistiocytic dermpath basics video (full video here: https://kikoxp.com/posts/18251). Another video ...
Download Options
Choose a download method below. All links open in new tabs.
Service Features Action
SaveFrom
MP4 & MP3 • HD Quality • Browser Extension Available
Download
Security Notice: These are third-party services. We recommend using antivirus software and being cautious of pop-up ads.