External Source

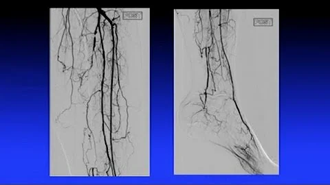
Pantharis And Image-guided Atherectomy - Ian Cawich, Md

2017 8:27
Synopsis
Presentation recorded at Cardiovascular Innovations 2017. CVI2017 was hosted by Cardiovascular Innovations Foundation at the ...
Download Options
Choose a download method below. All links open in new tabs.
Service Features Action
SaveFrom
MP4 & MP3 • HD Quality • Browser Extension Available
Download
Security Notice: These are third-party services. We recommend using antivirus software and being cautious of pop-up ads.