External Source

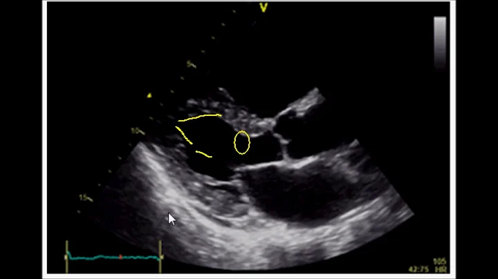
Estimating Ejection Fraction Using Fractional Shortening With Cardiac Ultrasound/echocardiography

2021 1:05
Synopsis
Learn how to estimate Left Ventricular Ejection Fraction of the Heart using Fraction Shortening with Cardiac Ultrasound, POCUS, ...
Download Options
Choose a download method below. All links open in new tabs.
Service Features Action
SaveFrom
MP4 & MP3 • HD Quality • Browser Extension Available
Download
Security Notice: These are third-party services. We recommend using antivirus software and being cautious of pop-up ads.