External Source

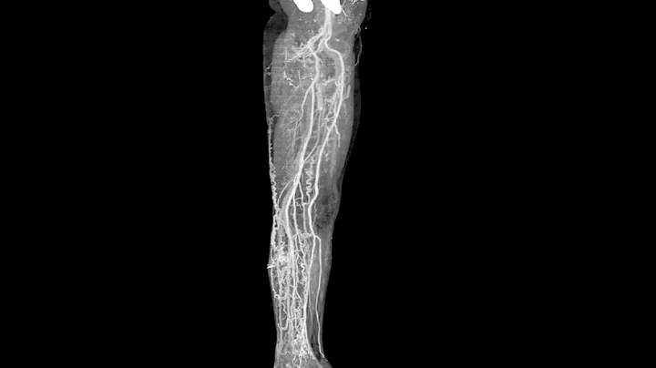
Venograms As A Useful Tool

2018 3:06
Synopsis
While at the Northeast Association of Equine Practioners Symposium, Dr. Ric Redden shares his thoughts on the basics of ...
Download Options
Choose a download method below. All links open in new tabs.
Service Features Action
SaveFrom
MP4 & MP3 • HD Quality • Browser Extension Available
Download
Security Notice: These are third-party services. We recommend using antivirus software and being cautious of pop-up ads.